le sube por el centro del pecho?
de los pacientes con enfermedad de reflujo gastroesofágico (ERGE).
Adicionalmente usted puede presentar regurgitaciones ácidas o de comida (90%), eructos (70%), tos (33%), dolor torácico o epigástrico (30%), como los síntomas más comunes de la enfermedad.
¿Y siempre que hay reflujo de contenido gástrico al esófago se produce la enfermedad de reflujo gastroesofágico?
No siempre; normalmente se produce cierta cantidad de reflujo del estómago al esófago sin que produzcan síntomas o daños en la mucosa del mismo, es lo que llamamos reflujo gastroesofágico fisiológico.
¿Cómo se produce este reflujo fisiológico?
Por relajaciones espontáneas del esfínter esofágico inferior (EEI). Estas relajaciones no coinciden con la deglución, duran aproximadamente 20 segundos, se dan de 20 a 30 por día, generalmente con el estómago lleno, de modo que puedan escapar los gases del estómago.
Para entender esto haremos una descripción sencilla de la anatomía del tubo digestivo superior (faringe, esófago y estómago) y de cómo funciona.
La faringe es la porción de tubo digestivo situado detrás de la boca, donde llegan los alimentos cuando se traga, comunica con el esófago que es un tubo muscular de 20 cms. delimitado en el extremo superior o faringo-esofágico por el esfínter esofágico superior (EES), y por el extremo inferior o esófago gástrico por el esfínter esofágico inferior (EEI). Este a su vez continúa con el estómago que es un órgano en forma de saco, cerrado en la parte superior por el esfínter esofágico inferior (EEI) y en su parte inferior por el píloro.
Las funciones de estos órganos a saber, conducir el alimento propulsándolo del esófago al estomago y de allí al intestino delgado, son realizadas de manera automática, sin la intervención de nuestra voluntad (con excepción de la deglución) y mediados por el sistema nervioso autónomo, llamado simpático y parasimpático.
¿Cómo funciona el esófago en estado de reposo, es decir sin ingerir alimentos?
En estado de reposo el esófago está cerrado por ambos lados, por arriba por el esfínter esofágico superior, que mantiene una presión de 40-120 mmHg, y por abajo por el esfínter esofágico inferior que mantiene una presión de 10-35 mmHg. Ambos esfínteres está cerrados para evitar que el jugo gástrico entre en el esófago, en la tráquea y los pulmones.
¿Cómo funciona el esófago durante la deglución?
Cuando se ingiere un alimento y este alcanza la faringe (parte de atrás de la boca), se produce el acto reflejo de la deglución. La deglución es un acto coordinado de relajación y contracción de la faringe, esfínter esofágico superior, esófago y esfínter esofágico inferior.
En efecto, el alimento entra en la boca se mastica y se impulsa hacia la faringe, esta se contrae e impulsa el alimento a través del esfínter esofágico superior, que se relaja (se abre) y permite el paso del alimento al esófago, que comienza a presentar contracciones peristálticas primarias (que impulsan el alimento), entonces el esfínter esofágico inferior se abre durante unos segundos hasta que la contracción peristáltica alcanza el mismo, e impulsa el alimento a través de este hacia el estómago; entonces el esfínter esofágico inferior se cierra para que no haya reflujo del contenido gástrico hacia el esófago.
¿Qué es entonces el RGE patológico?
Es aquel reflujo que por su volumen y su cantidad es capaz de producir síntomas (pirosis, regurgitaciones) y dañar la mucosa del esófago. Técnicamente esto sucede cuando en la evaluación por phmetría de 24 horas tenemos más de 50 episodios de reflujo al día o cuando el ph del esófago está por debajo de 4 durante más de una hora al día (normalmente el ph del esófago está entre 5.5 y 7.0 )
¿Por qué el RGE patológico daña el esófago?
El esófago es un órgano diseñado para trasportar los alimentos hacia el estómago, no produce jugos digestivos tiene una cubierta en su pared interna de células planas estratificadas y un medio interno neutro (ph de 7.0).
El estómago es un órgano de digestión de los alimentos, tiene una capa en su pared interna de células estratificadas cilíndricas altas que producen jugo gástrico (acido clorhídrico y pepsina) con un medio interno ácido (ph de 4); pero también tiene células que producen moco que protege las paredes del mismo y evita que estas se quemen por el efecto del acido clorhídrico y la pepsina. El esófago no tiene este factor de protección…
Entonces cuando falla el EEI que es la válvula check que impide el paso de jugo gástrico al esófago bien sea porque tiene la presión baja (menos de 10 mmhg) o porque tiene muchas relajaciones espontáneas (mas de 50 al día) el jugo gástrico sube en grandes cantidades al esófago y quema e inflama la mucosa del mismo originando los síntomas de ERGE y el cuadro conocido como esofagitis.
Ahora que sabemos cómo y porqué el jugo gástrico daña el esófago conoceremos que enfermedades puede producir.
Enfermedades extraesofágicas
1- Laringitis
Inflamación de la laringe producida por el jugo gástrico.
2- Faringitis
Inflamación de la faringe producida por el jugo gástrico.
3- Otitis
Inflamación del oído secundario a faringitis a repetición.
4- Asma
Secundaria a la entrada de jugo gástrico a los bronquios.
5- Tos
Secundaria a la entrada de jugo gástrico a los bronquios.
1- Esofagitis
Existen 4 grados diferentes de acuerdo a la severidad de las lesiones.
- Grado A:
Una o más úlceras no mayores de 5 milímetros que no se extiendan entre las crestas de los pliegues mucosos.

- Grado B:
Una o más úlceras mayores de 5 milímetros que no se extiendan entre las crestas de los pliegues mucosos.

- Grado C:
Úlceras que se extienden entre las crestas de uno o más pliegues mucosos pero que afecta a menos del 75% de la circunferencia
del esófago.

- Grado D:
Úlceras de la mucosa que afectan al menos 75% de la circunferencia del esófago.

2- Estrechez (estenosis) del esófago
Cuando la esofagitis es grado C o D se producen múltiples cicatrizaciones de la pared y eso origina retracción de la misma con la consiguiente estrechez del esófago y dificultad para tragar (disfagia).

Flechas blancas: ondas terciarias de esófago
Flechas rojas: áreas de estrechez esofágica
Flecha azul: hernia hiatal
3- Esófago de Barrett
Es una condición en la cual la mucosa del esófago distal, que normalmente está cubierta de epitelio escamoso, cambia a epitelio columnar como consecuencia del RGE y puede evolucionar hasta un cáncer muy maligno.

4- Cáncer del esófago
Es una condición en la cual el RGE produjo un esófago de Barrett o una estrechez péptica que evolucionó a cáncer; esta es una enfermedad muy maligna con una sobrevida no mayor al 15% de los enfermos.

Epidemiología de la ERGE
En la última década han aumentado mucho los pacientes con ERGE. Hay 4 factores involucrados en la fisiopatología de la enfermedad.
1- Longevidad
De acuerdo a numeroso estudios de grupos etarios existen mas casos de ERGE y con enfermedad mas severa (esofagitis C o D y Barrett) en pacientes de 60 años o más.
Las causas son:
-Compromiso de la barrera antirreflujo.
-Disminución de la peristalsis secundaria esofágica que limpia al mismo del reflujo ácido.
-Aumento de los pacientes con hernia hiatal y subsecuente falla del EEI.
-Disminución de la producción de bicarbonato en la saliva que amortiza la acidez del reflujo gástrico.
2- Obesidad
A medida que aumenta la masa corporal aumenta hasta 2.5 veces los síntomas de ERGE y o las erosiones en la mucosa esofágica.
Las causas son:
-Elevación de la presión intragástrica por aumento de la presión intraabdominal.
-Aumento de la incidencia de hernia hiatal por aumento de presión en el diafragma.
3- Helicobacter Pilori
La presencia de esta infección está asociada a una disminución de la ERGE por disminución de la acidez del jugo gástrico que refluye.
4- Medicamentos
Existen 5 grupos de medicamentos que producen relajación del EEI con el consecuente aumento del ERGE:
-Nitroglicerina
-Anticolinérgicos
-Agonistas B-adrenérgicos
-Aminofilinas
-Benzodiazepinas
Estos son medicamentos de uso común, con frecuencia indispensables, y su tratamiento solo debe ser modificado por indicación médica.
Diagnóstico de ERGE
CLÍNICO
Los síntomas en esta enfermedad son muy importantes y típicos de la misma. Estos pueden ser:
Esofágicos:
- Pirosis: Sensación de ardor quemante que sube por el centro del pecho; es el síntoma clásico más importante ya que el 95% de los pacientes lo tienen.
- Regurgitaciones: Pueden ser ácidas o de alimentos. El 90% de los pacientes las tiene.
- Dolor retroesternal: Ocurre en el centro del pecho de leve a severo puede confundirse con angina de pecho de origen cardiaco, cede con nitroglicerina. El 30% de los pacientes lo tiene.
- Eructos: Emisión involuntaria de gases por la boca. El 70% de los pacientes lo tiene.
Extraesofágicos:
- Tos: Producida por el ingreso de jugo gástrico a la tráquea y los bronquios, es refleja e irritativa.
- Laringitis: Inflamación de la mucosa laríngea con cambios o no de la voz causado por el contacto directo con el jugo gástrico refluido.
- Asma: 60% de los pacientes asmáticos tienen ERGE diagnosticado por phmetría; estos pacientes solo mejoran con cirugía antirreflujo.
ESTUDIOS PARACLÍNICOS
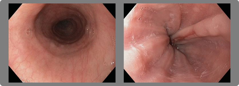
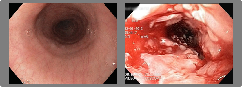
Endoscopia superior:
Es un estudio mediante el cual se introduce por la boca del paciente un tubo flexible de menos de 1 centímetro de diámetro y se avanza progresiva y sucesivamente a través del esófago, estómago, hasta llegar al duodeno. Este instrumento contiene en su interior un haz de fibra óptica conectada a una cámara y a un monitor de alta definición que nos permiten ver con gran aumento el interior de los órganos estudiados. Contiene asimismo uno o más canales de trabajo por los cuales se pasan instrumentos que nos permiten tomar biopsias y ejecutar procedimientos terapéuticos. Así mismo es posible tomar fotos y videos de los procedimientos realizados.
Este estudio se realiza con el paciente en ayunas, bajo sedación especial, por lo que no se sienten molestias. Se realiza en aproximadamente 5 minutos.
Permite evaluar los daños en la mucosa del esófago producidos por el reflujo gastroesofágico y la presencia o no de hernia hiatal concomitante.
Phmetría de 24 horas del esófago:
Es el estudio más importante para el diagnostico de ERGE.
Consiste en introducir a través de la nariz del paciente una fina sonda flexible (que el paciente se lleva a su casa por 24 horas) que se coloca en el esófago distal y que contiene en la punta un electrodo de ph en miniatura el cual está conectado a una grabadora portátil y que nos permite un registro durante 24 horas de las variaciones de ph del esófago (si es mas o menos ácido) y su relación con los síntomas. Si el ácido es de un ph de 4 o menos durante una hora o si los episodios de reflujo ácido son más de 50 en 24 horas el estudio es positivo para la enfermedad de reflujo gastroesofágico.
Manometría del esófago:
Este es un estudio por el cual se introduce en el esófago a través de la nariz un catéter plástico que contiene varios sensores de presión desde el esfínter esofágico superior hasta el esfínter esofágico inferior que es perfundida con agua a un flujo constante y que nos permite conocer la presión de ambos esfínteres y del esófago en toda su extensión para saber si estos funcionan adecuadamente y si el esófago tiene contracciones peristálticas adecuadas para impulsar el alimento al estómago.
Con este estudio podemos saber si la presión basal del esfínter esofágico inferior es menor a lo normal, lo que permite que haya reflujo del contenido gástrico al esófago.
Otras técnicas de estudio:
Existen otras técnicas que no son aún de uso rutinario, permiten perfeccionar los diagnósticos de la ERGE y sólo nombraremos a saber:
- Manometría de alta resolución
- Impedancia esofágica de canal múltiple
- Phmetría sin catéter a través de una cápsula
- Bilitec para determinar reflujo biliar
Tratamiento médico de ERGE
Los objetivos del tratamiento médico de ERGE son tres:
- Eliminar los síntomas.
- Cicatrizar la mucosa esofágica dañada.
- Prevenir complicaciones; a saber estrecheces esofágicas, esófago corto, daño a la bomba esofágica, esófago de Barrett y cáncer del esófago.
La base para el logro de estos objetivos está en suprimir el ácido a nivel del esófago. Los IBP (inhibidores de la bomba de protones; ejemplo el omeprazol como el más conocido) son la mejor opción de tratamiento médico en ERGE. Son los que logran la más rápida mejoría de los síntomas y el mayor porcentaje de cicatrización en esofagitis erosiva.
En pacientes con ERGE leve y /o con síntomas de reflujo ocasionales o intermitentes pueden usarse los antagonistas de los receptores de histamina H2, solo o en combinaciones de antiácidos con alginatos.
¿Cuál es el principal inconveniente del tratamiento médico?
La ERGE es una enfermedad crónica recurrente y el 80% de los pacientes en tratamiento médico recae en sus síntomas y/o esofagitis dentro de los 6-12 meses de haber suspendido el tratamiento; entonces para estos pacientes el tratamiento es de por vida.
¿Que otras medidas puedo seguir para mejorar?
1- No comer en grandes porciones.
2- Evitar ingerir grasas, chocolates, menta, té, alimentos cítricos, alcohol y café.
3- Evitar fumar.
4- Bajar de peso si se es obeso.
5- No usar en lo posible medicamentos como nitroglicerina, anti colinérgicos, agonistas Badrenérgicos, aminofilina y benzodiacepinas.
6- Elevar la cabecera de la cama para dormir.
El tratamiento actual más usado y que da los mejores resultados es la fundaplicatura de Nissen por vía laparoscópica el cual permite la reconstrucción de los tres componentes de la barrera para el control del reflujo, a saber, restitución de la porción intraabdominal del esófago; reconstrucción del esfínter extrínseco, es decir, del hiato esofágico y reforzamiento del esfínter intrínseco o EEI.
El tiempo quirúrgico es de 1y1/2 a 2 horas, el paciente amerita 1 día de hospitalización sin preparación previa particular y se realiza bajo anestesia general. El éxito de la operación en términos de control de los síntomas y de los daños del tejido esofágico es de aproximadamente 90%.
TÉNICA QUIRÚRGICA
Paciente en posición de litotomía y en Fowler de 20 grados, el cirujano se coloca entre las piernas del paciente y los ayudantes a los lados del mismo según el diagrama.
Los portales de entrada a cavidad se colocan según el diagrama uno de 10 mm en ombligo, uno de 5mm a la derecha de la línea media supraumbilical, otro de 10 mm en hipocondrio izquierdo, uno de 5mm en línea media supraumbilical subxifoideo y otro de 11mm en flanco izquierdo según diagrama.
Pasos quirúrgicos:
- Insuflación de cavidad
- Revisión de cavidad
- Separación de lóbulo izquierdo del hígado fijando endograsper de 5mm en base de pilar izquierdo
- Tracción de estómago a la derecha con endobabcock de 10mm
- Disección de ligamento gastrohepático, pilar derecho, ligamento frenoesofágico y pilar izquierdo.
- Disección roma de las adherencias de los pilares al esófago hasta la unión de los mismos.
- Tracción con endobabcock del esófago distal en tienda de campaña para disecar el tejido periesofágico posterior de la cara anterior del pilar izquierdo.
- Elaboración de la ventana retroesofágica teniendo cuidado de disecar por delante del pilar izquierdo.
- Pinzamiento del fondo gástrico pasándolo de izquierda a derecha.
- Punto de anclaje (seda 0) del arropado gástrico a la base del pilar derecho.
- Punto de anclaje (seda 0) del arropado a la unión del pilar izquierdo con el derecho, lo que además cierra la cura.
- Colocado los puntos de anclaje el arropado se puede soltar y no se retrae. Se realiza entonces la fundoplicatura sobre la cara anterior del esófago colocando 3 puntos separados de seda 0 en un espacio no mayor de 2 centímetros.
- Anclaje de fundus gástrico a base de pilar izquierdo.
- Comprobación de un arropado flojo.
- Comprobación de hemostasia, lavado de cavidad.
- Cierre de puertos.
¿Quién se debe operar?
1- Los pacientes que no responden a tratamiento médico.
2- Los pacientes que necesitan dosis en aumento de medicamentos y que presentan enfermedad progresiva a pesar del mismo, ya que desarrollan complicaciones importantes.
3- Los pacientes con expectativa de tratamiento a largo plazo en especial jóvenes.
4- Los pacientes que no quieren el tratamiento médico por costo excesivo, porque no quieren estar en tratamiento médico continuo o por los efectos colaterales de la medicación.
5- Los pacientes con esofagitis severa por el alto riesgo de complicaciones.
6- Los pacientes con formas avanzadas de la enfermedad, úlceras, estenosis, esófago corto, enfermedad de Barrett y cáncer.
7- Los pacientes con síntomas respiratorios.
Criterios para operar un paciente de ERGE
Cuando el tratamiento con inhibidores de la bomba de protones conjuntamente con los cambios en el estilo de vida falla.
Cuando se identifica y cuantifica el daño a la mucosa esofágica.
Cuando se documenta con phmetría de 24 horas el RGE anormal como causante de los síntomas y el daño a los tejidos.
Cuando hay un problema reparable por cirugía en la barrera antirreflujo.
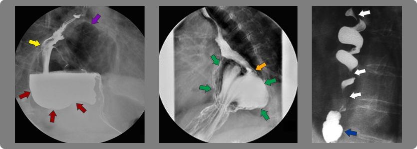
Hernia hiatal y ERGE
La hernia hiatal es una afección en la cual el estómago asciende desde la cavidad abdominal por debajo del diafragma hacia el mediastino (compartimiento central de la cavidad torácica) por arriba del diafragma. En la mayoría de los casos a menos que sea una hernia grande no produce síntomas per se y no necesita tratamiento, pero hasta en un 40% de los casos acompaña al ERGE, en cuyo caso se corrige con cirugía. Se dice que el ascenso del EEI desde su posición natural intraabdominal al tórax condiciona que este pierda su capacidad de funcionar como válvula y se facilite el ERGE.


Flecha amarilla: esófago
Flecha morada: estómago herniado lleno de aire
Flechas rojas: estómago herniado lleno de bario
Flecha naranja: unión esófago- gástrica
Flechas verdes: saco gástrico herniado
Flechas blancas: ondas terciarias del esófago
Flecha azul: hernia hiatal